治療実績1,500本以上の症例数!
白くて綺麗だけでなく
長く持ちます。
お悩み別治療例のご紹介
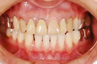
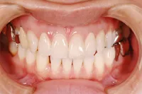
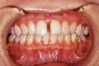
症例1前歯の色が気になる
Before

After

治療内容 | ラミネートベニアは、前歯の変色だけではなく、歯並びや歯の形まで、短期間で綺麗にすることができます。この症例では、患者様の希望によりラミネートベニアにより前歯の変色を改善しています。 |
---|---|
治療費 | 約38万5千円(5本) |
治療期間 | |
通院回数 | |
リスク | 過度の衝撃で割れることがあります。 |
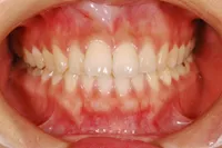
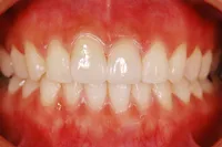
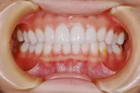
症例2歯並び・歯の形が気になる
Before

After

治療内容 | 前歯の形を気にされており、当院へ来院されました。歯の形を綺麗に整えられるラミネートベニア治療によって自然な仕上がりにしました。 |
---|---|
治療費 | 約7万7千円(1本) |
治療期間 | |
通院回数 | |
リスク | 過度の衝撃で割れることがあります。 |
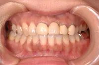
症例3すきっ歯を治したい
Before

After

治療内容 | すきっ歯が悩みで来院されました。友人と会話をしていても、歯の隙間が気になり、いつも手を当てて話しているとのこと。この患者様は、ラミネートベニア治療により前歯の隙間を無くしました。 |
---|---|
治療費 | 約15万4千円(2本) |
治療期間 | |
通院回数 | |
リスク | 過度の衝撃で割れることがあります。 |
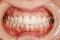
症例4歯茎の黒ずみ・変色が気になる
Before

After

治療内容 | 歯茎の変色を気にされ、当院へ来院されました。他院で入れた「銀歯」が原因で歯茎が変色していました。そのため、金属を一切使用しないセラミッククラウンに変えたことで改善しました。 |
---|---|
治療費 | 約46万2千円(6本) |
治療期間 | |
通院回数 | |
リスク | 過度の衝撃で割れることがあります。 |
当院の審美セラミック治療が「評判」な5つの根拠
根拠110年間で1,500本以上の豊富な治療実績
過去10年間で、当院は1,500本以上のセラミック(白い被せ物)を患者様のお口に入れてまいりました。これほど多くの治療実績を有している歯科医院は、そこまで多くありません。
なぜこれほどの治療実績があるのでしょうか。
答えは簡単です。
患者様が理想とする白くて綺麗な被せ物を提供することができ、その被せ物が長く持ち、当院でも長持ちさせる様々な工夫をしているためです。そして、保険適用の素材と比較して、金属アレルギーや健康を害する危険のある金属や材料がセラミックには含まれておらず、身体に優しいためでもあります。
保険適用される治療法や素材はおよそ40年前のものであり、お口の健康を考えると保険診療には限界があります。当院では、保険診療でできること・できないことを正直に説明し、最終的には患者様自身に治療を選択して頂いております。
審美セラミック歯科を検討されている方は、治療実績が豊富な当院へお気軽にご来院ください。

根拠2事前シミュレーションをするから希望通りの歯に!
当院では、治療前に型取りし模型をお作りします。
患者様の希望があれば、模型上で、患者様が理想とする歯の形を仮製作し、事前シミュレーションを行うことで、 最終的に仕上がる被せ物に対する歯科医師と患者様との
認識のズレを無くしています。
これにより、「被せ物の形がイメージと違う…」という、 最終段階でのやり直し治療を避けることができます。
多くの労力と時間をかけたのにやり直しになっては、お互いに残念ですよね。 そうならないために、当院では事前シミュレーションを行っております。

根拠3優秀な歯科技工所との連携
皆様はあまりご存知ないかもしれませんが、詰め物・被せ物は「歯科技工所」という別のところで作成します。1から10まですべて歯科医師が作るわけではありません。
つまり、いくら歯科医師の能力が高くとも、連携している歯科技工所の能力が高くなければ、決して良い詰め物・被せ物は作れないということです。
したがって、どの歯科技工所と連携しているかで詰め物・被せ物の良し悪しが変わってきます。
当院では、「株式会社コスモデンタルラボラトリー」 という歯科技工所と連携し、詰め物・被せ物を作成しています。
この歯科技工所でセラミックを専門で製作している高城さんが作る詰め物・被せ物はクオリティーが非常に高く、安心して任せられる歯科技工士さんです。

根拠4セラミックの種類が豊富だから患者様に適した歯を作れる!
実は、セラミックと一口に言っても種類はひとつではありません。 金属を使う素材、金属を一切使用しない素材など、様々な種類のセラミックがあります。
その中でも、金属を含まないセラミックを「オールセラミック」と言います。
当院では、オールセラミックでの審美セラミック治療を推奨しております。
なぜなら、金属を使用したセラミックだと「金属アレルギー」などの人体に害をもたらす可能性を否定できませんが、金属を一切含まないオールセラミックであればそのような悪影響がないためです。
また、被せ物の美しさを引き立てるのは、被せ物の素材だけでなく「コア」と呼ばれる被せ物の土台に使用する素材も関係しています。
このコアには、金属を使用する「メタルコア」や、金属を一切使用しないメタルフリーの「ファイバーコア」があり、どのような素材のコアを使用するかで被せ物の美しさが変わってきます。文章で説明しても分かりにくいと思いますので、メタルコアとファイバーコアでどのように見た目が変化するのかを表現した下記の写真をご覧ください。

根拠5美しさだけでなく「機能性」も考えた審美セラミック治療
審美セラミック治療をしたことにより、顎が疲れたり、肩こり・腰痛・頭痛などが発症することが稀にあります。これは治療により「噛み合わせ」が微妙に変化したことに起因する場合があります。
審美セラミック治療では「歯の美しさ」も大切ですが、 同じくらいに噛み合わせなどの「機能性」も考慮したお口全体の治療計画を立てる必要があります。
特に歯ぎしり・食いしばり癖のある人は慎重に計画を立てなければなりません。
また、治療される方の生活習慣、年齢、性格、顔の輪郭、雰囲気、肌の色、よく使う口紅の色などによっても提案内容が変わってきます。
これらをトータルに把握し、患者様に適したものを提供することが審美セラミック治療の成功を導き、患者様の満足につながるものと考えます。

審美セラミック
歯科における
当院こだわりの治療工程
審美セラミック歯科は、手を抜こうとすれば時間がかからず簡単な分野なのかもしれません。
しかし、適切な方法で審美セラミック治療を行おうとした途端、非常に難しく製作工程が複雑になってくるのが審美セラミック治療です。
当院は非常に強いこだわりを持って審美セラミック治療を行っています。 こだわりを持って行っている審美セラミック歯科の治療工程をご紹介しましょう。
患者様の希望を伺うカウンセリング
患者様が理想とする歯を作るためには、患者様へのカウンセリングが不可欠です。治療前に歯の形、色、大きさなど様々な項目をヒアリングいたします。
事前シミュレーション
詰め物・被せ物をそのまま作るのではなく、まずは模型でデザインして事前シミュレーションをすることで、希望通りの詰め物・被せ物に仕上がります。
必要に応じて行う歯周病治療
歯周病の状態では正確な型取りをすることができず、お口に合わない被せ物ができ上がってしまいます。 そのため、当院では歯周病治療をしてから審美セラミック治療を始めます。
拡大ルーペを用いた歯の形成
拡大ルーペを使うことで、肉眼では見えない部分も見えてくるため、精密な治療が可能となります。
プロビジョナルストレーション
仮歯を作り、実際にお口の中に入れ、噛みあわせ・審美性をチェックする工程です。仮歯といいましても、手を抜くことはしません。これの出来不出来で完成形が決まるためです。
歯肉圧排(しにくあっぱい)
歯茎を押し下げて、歯と被せ物に隙間が生じないようにするための工程です。この工程を踏むことで、精密な模型を作製でき、精密でない被せ物の場合に起こる歯周病や虫歯にもなりにくくなります。
シリコン印象材
歯型を採る材料です。保険適用される印象材だと変形が起きてしまうため精密な被せ物を作れません。それに対して当院が使用しているシリコン印象材は変形が少なく精密な材料ですので、患者様のお口の中を正確に型取りすることが可能です。
歯科技工士の立会い
歯科技工士が自ら診療に立ち会い、患者様の歯の色味や質感、形などを情報収集します。これにより、天然歯と見分けのつかない被せ物を作ることが可能となります。 歯科技工士の立ち会いは希望者のみとなります。
完成前の被せ物確認
被せ物の完成前に、ツヤや光沢がついていない状態で色調や適合、噛み合わせをチェックします。必要があればこの工程で微調整を行います。
被せ物完成
当院は歯と被せ物を接着する材料にもこだわり、ご自身の歯と見分けのつきにくい色味とツヤが出る材料を使用しています。 被せ物を装着したら、これで完成です!
定期メンテナンス
いくら綺麗な被せ物を作ったとしても、定期メンテナンスを怠っていれば数年でダメになってしまいます。せっかく入れた被せ物をずっとお使い頂くために、当院では定期メンテナンスをお勧めしております。
大変な目にあう
歯科医院の選び方
審美セラミック歯科の治療費は、歯科医院によって千差万別です。「価格」は外から見えるものですので、審美セラミック歯科の知識がないうちはどうしても価格が判断の拠り所となってしまいます。
しかし、価格だけで歯科医院を選ぶことは避けてください。なぜなら、その価格で提供できる背景には理由があり、それが後々のトラブルに繋がる場合があるためです。
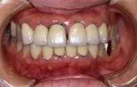
そのトラブルとなった患者様の写真が左のものです。
そのトラブルとなった患者様の写真が下記のものです。
この患者様は、審美セラミック歯科を行っている他医院から転院されてきた患者様の口腔内写真です。
被せ物の根元には虫歯があり、歯周病によって歯茎がパンパンに腫れあがっていることが分かります。
虫歯や歯周病になっている場合は、審美セラミック治療の前にそれを治すところから始めなくてはなりません。
虫歯や歯周病が治っていない状態で被せ物を入れてもすぐにダメになってしまい、高額なセラミックを外さなくてはなりません。
