患者様のニーズは時代と共に変化し続けます。これは歯科医院においても同様です。
当院では、常に患者様のニーズをとらえ、
治療だけでなくサービス面でも満足して頂くことに力を入れてきました。
それをここでご紹介させて頂きます。
当院が選ばれる6つの理由
理由1「噛みやすい」「目立ちにくい」入れ歯(自由診療)
従来の入れ歯には「噛めない」、「入れ歯だと気づかれてしまう」などの様々な課題がありました。これらが理由で入れ歯を断念される患者様は非常に多いのです。
それに対して、当院が作る入れ歯は「噛みやすい」、「装置が目立ちにくい」ことに加え、「外れにくい」、「痛くなりにくい」と評判です。
他の歯科医院が作る入れ歯とどのような点が異なるのか?
それは、入れ歯の製作法と入れ歯に使用する素材が異なるためです。
他院よりひと手間もふた手間も掛けた特殊な製作法であり、入れ歯には歯茎の色とほとんど見分けがつかない素材を使用しているからなのです。
当院が作っている入れ歯の製作法や素材などについて詳しく知りたい方は、入れ歯のページをご覧ください。

理由2綺麗な歯を取り戻すデンタルエステ
日本人の歯周病罹患率は80%以上、アメリカは47%、スウェーデンは23%です。
なぜこんなに他国と差があるのでしょう?
日本ではトラブルが起きてから歯科へ行くという考えの方が多く、トラブルが無くても歯科医院に定期的に通うという欧米諸国の考え方と予防に対する意識の違いがあります。
日本人の定期検診受診率は約15%、アメリカは65%、スウェーデンでは80%の方が定期検診を受診しています。毎日の歯磨き、定期的なクリーニングで健康な歯を守っていくことが可能です。当院では健康な歯と口元を維持できるよう、デンタルエステメニューをご用意しております。

エアフロー ¥3,500+TAX
マイルドで快適な清掃が可能です。従来の超音波スケーラーに比べ、歯、歯肉、金属、セラミック、インプラントなどへのダメージを抑え、バイオフィルム、着色を除去できる方法です。
歯周ポケットのメンテナンスにも効果的です。
また、 体に安全なアミノ酸のパウダーを使用しています。

ホワイトクール ¥9,900 ※1回/2クール
手軽に歯の色を白く、明るくすることができます。(効果は長期に持続はしません。)
理由3白い被せ物 ¥45,000+TAX~
歯の黄ばみや虫歯、先天性着色歯(テトラサイクリン)などによる歯の変色や歯の形、歯並びなどが気になる場合はセラミック治療がお勧めです。
このセラミック治療とは、歯を削りその上を白い被せ物であるセラミックで覆うことにより歯の変色や歪な形、歯並びを綺麗に改善することが可能となります。
歯並び改善において言及すると、治療期間が長い歯列矯正とは異なり、短期間で治療できることから「プチ矯正」と最近では言われています。
当院では患者様の負担を考えて50,000円と低価格にさせて頂いています。

ただ、ここで患者様に注意して頂きたいのが、治療費に関わらず歯科医院によってセラミックの仕上がりは異なるということです。料金設定も考慮した上で、その歯科医院がセラミック治療においてどのようなこだわりが具体的にあるのかを知ることが大切です。
セラミック治療における当院のこだわりを知りたい方は審美セラミック治療をご覧ください。
理由4可能な限り「歯を残す」治療
虫歯の処置せずに放っておくと、歯の根っこまで進行してしまいます。症例にもよりますが、この段階まで虫歯が進行した場合は抜歯をするケースが多分にあります。
しかしながら、当院では「根管治療」と呼ばれる歯の根っこの治療を、こだわりを持って丁寧に行うことで可能な限り歯を残す道を模索しています。
患者様はあまりご存知ありませんが、根管治療はどこの歯科医院でも行われている治療にも関わらず、歯科医院によって治療の成功率がまったく異なるのは、この根管治療が歯科医療の中でも非常に難しいジャンルだからです。

当院では、根管治療を中心とした学問を取り扱っている「日本歯内療法学会」で精力的に院長が学んでいることや、歯科用CTの根管治療への応用、根管治療に使用する薬剤などにもこだわりを持って根管治療を行っています。
その甲斐あってか、当院での根管治療の成功率は高く、他院で抜歯を宣告された患者様の歯を残すことにも成功しています。
根管治療は分かりにくい治療ですので、根管治療がどのような病気なのかであったり、根管治療における当院のこだわりを知りたい方はむし歯治療のページをご覧ください。
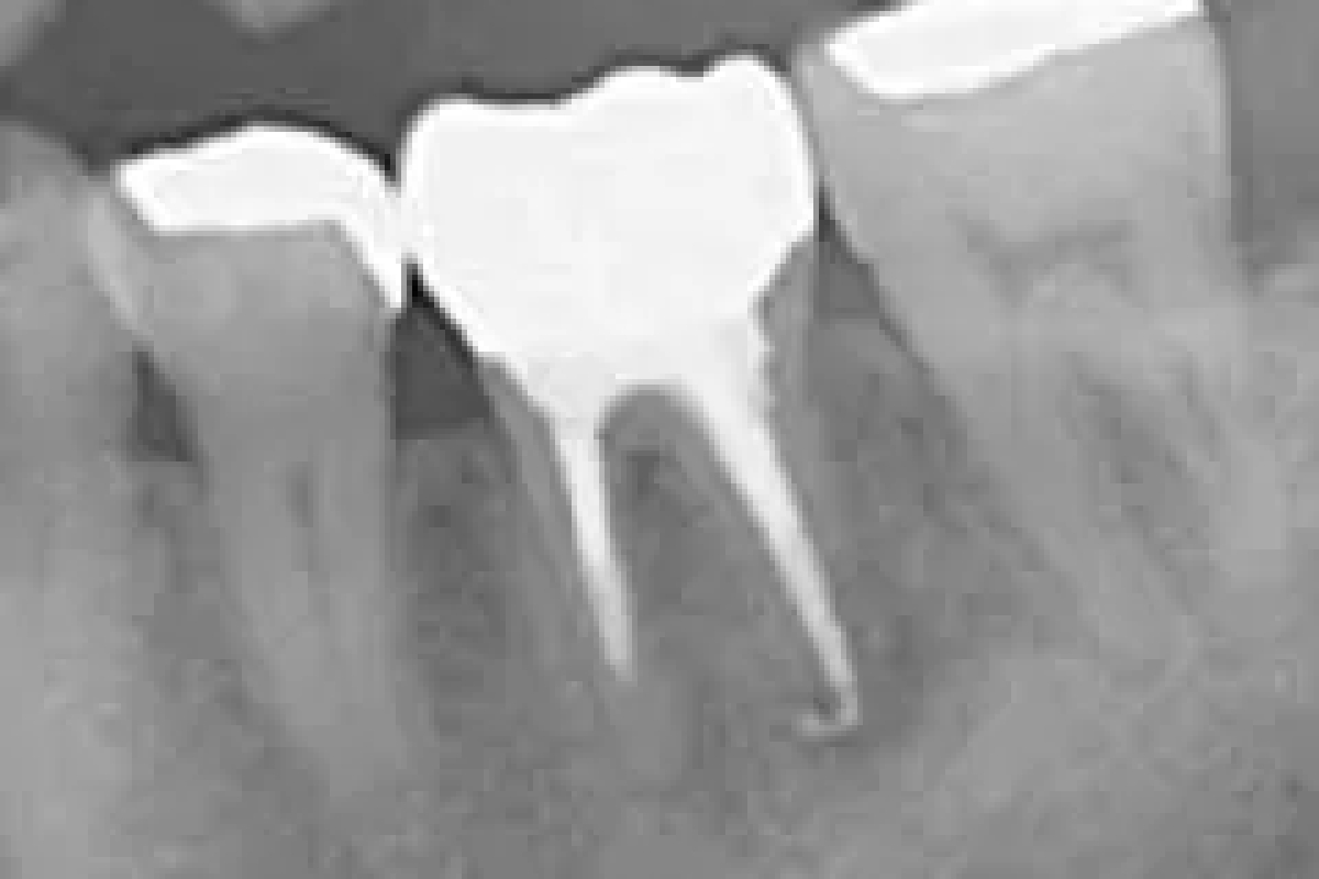
理由5精密な根管治療の実施-1根管2万円
当院では保険でもしっかりした根管治療を行っていますが、どうしても材料と時間の制限がかかってしまいます。そのため、ケースによっては保険外治療での根管治療も実施します。
当院で処置した症例をご紹介します。
他院で抜歯と言われてしまった歯でも抜歯せずに対処した症例も多数あります。
黒い影が出ている部分が問題の個所で(根尖病巣)、治療後はこの影がなくなっているのが見て取れると思います。
Before

After

価格は約2万円。根管を治療した症例。リスクとして、低い可能性ではあるが、再発する可能性がある。
治療部位に細菌が侵入することを防ぐためエナメルコートと呼ばれる装置でしっかり防湿を行い、根管長を正確に測ることができる根管長測定器を利用します。またケースによっては通常のレントゲンではなくCTを利用した診査診断も実施します。



稀に外科処置を行わなければ治癒できないケースもありますが(歯根端切除術・再植等)、当院ではこれらの処置も対応可能になっています。
理由6入れ歯・審美セラミック歯科「匠」の存在
あまりご存知ないかもしれませんが、入れ歯や詰め物、被せ物(審美セラミック歯科)も歯科医師1人で作るものではなく、「歯科技工所」で働いている歯科技工士と呼ばれる職人の方が一つひとつ丁寧に製作されています。
つまり、いくら歯科医師の能力が高くとも、連携している歯科技工所の能力が低ければ、決して良い入れ歯や詰め物、被せ物は作れないということです。したがって、どの歯科技工所と連携しているかで患者様の満足度は変わってきます。

入れ歯と審美セラミック歯科では利用している歯科技工所は異なりますが、どちらも全国にある歯科技工所の中でもこだわりを持たれて製作されている非常に優秀な歯科技工所です。
入れ歯を製作して下さっている歯科技工所は「株式会社ファンダリューム」様で、審美セラミック歯科では「株式会社コスモデンタルラボラトリー」様に母の代からお世話になっています。
それぞれの歯科技工所について詳しく知りたい方は入れ歯と審美セラミック治療のページをご覧ください。