「身体に優しい」歯科治療に
取り組んでいます。

金安歯科医院式
「可能な限り削る量を
少なくした」治療

特徴1視野を肉眼の数倍拡大することで削る量を少なくした「拡大ルーペ」

すべてのケースで行うわけではありませんが、視野を肉眼の数倍拡大して見ることのできる「サージテル社製拡大ルーペ」を用いての治療を当院では実施しております。 まずは、下記に掲載した画像をご覧ください。

拡大ルーペを利用した方が、大きく見ることができるので、当然「繊細」な治療が可能になります。
当院では必要に応じてこの拡大ルーペを使用した治療を行い、歯と削る量を少なくしています。 また、この拡大ルーペは虫歯治療だけでなく、他の治療にも応用ができますので、すべての治療「繊細・精密」で「丁寧」な治療が可能となります。

肉眼で見た場合
拡大ルーペで見た場合

特徴2肉眼では見えない虫歯の早期発見を可能とする「ダイアグノデント」

初期段階の虫歯には痛みがありませんが、 虫歯が大きくならないうちに対処するためにも早期発見が欠かせません。しかし、初期の虫歯は非常に分かりづらくレントゲンや肉眼で発見するのは困難を極めます。 そこで活躍するのが「ダイアグノデント」です。 この機器を使うことで、熟練した歯科医師でも発見が 困難だった小さな虫歯を早期に発見することができるようになります。

これにより、虫歯の拡大・進行を事前に察知し、大きく虫歯を削る状態になる前に対策を立てることが可能となりました。

特徴3必要な部分しか削らない「極小のドリル」

歯を削るドリルにも大きいものから小さいものまで多くの種類があります。
当然のことですが、大きいドリルを使うと歯を削る量も大きくなり、反対に小さなドリルを使えば、歯を削る量が少なくて済みます。

可能な限り歯を削る量を少なくすることが「歯」の健康を維持するには大切だと当院は考えています。
そのため、当院では「極小」の歯科用ドリルを利用し、削る必要がある部分だけをピンポイントで削りとるようにし、歯の削る量を少なくしています。

神経まで達した虫歯の
治療法「根管治療」

虫歯の進行状況は、大きく分けて四段階あります。まずは下記をご覧ください。

虫歯の進行状況によって治療内容は変わってきます。
皆様が虫歯治療でイメージされるのは、歯を削ってプラスチックの詰め物をする治療ではないでしょうか。これは上記C1~C2までの虫歯における話です。
しかしながら、C3~C4まで進行した虫歯は歯の神経まで達しており、「根管治療」という治療を行う必要が生じてきます。

根管治療とは、専用器具で虫歯に侵されてしまった歯や神経を除去し、歯の根の病気を治療する治療法のことです。この根管治療は、歯科医療のなかでも特に難しいジャンルであり、歯科医院によって治療の成功率が異なります。

当院では、この根管治療を成功させるための専用機器や特別な取り組みをしているため、根管治療における成功率の高さを実現しています。 その高い成功率を実現している理由は下記の通りです。

金安歯科医院の場合
  • 歯科用CTを使用する
  • シーラーを使用しない
  • 根幹内を超音波洗浄する
他医院の場合
  • 歯科用CTを使用しない
  • シーラーを使用する
  • 根幹内を超音波洗浄しない

「歯科用CT」、「シーラー」など、普段聞きなれない言葉が出てきていますが、これらは根管治療を成功させる上では欠かすことのできないものです。 これについて下記で詳しくご紹介いたしましょう。

特徴1「日本歯内療法学会」所属だから根管治療に注力している

「日本歯内療法学会」をご存知の方はほとんどいらっしゃらないかと思います。
日本歯内療法学会とは、歯内療法学、つまり根管治療を中心とした学問を取り扱う団体のことです。一般的に成功率が低いとされる根管治療を成功させるために、当院の院長は日本歯内療法学会で精力的に根管治療を学んでいます。

特徴2根管治療の成功率を高める「歯科用CT」

根管治療を成功させるためには、歯の根の構造を正確に把握し清掃することが求められます。 なぜなら、歯の根は人によって異なるためです。根がまっすぐ伸びているものばかりではなく、枝分かれしていたり、意外な角度で曲がっていたり、細すぎたりなど、歯によって個性があります。

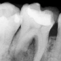
上記のように、人によって異なる根の構造を把握するために、多くの歯科医院がレントゲン撮影を試みるのですが、レントゲンでは平面としてしか捉えることができないため、正確な根の構造を知ることは極めて困難だと言えます。 当院が導入している歯科用CTでは、歯の内部を立体的に撮影可能であり、根の構造を正確 に把握することができるため、根管治療の成功に大きく貢献しています。 根の構造を的確に把握することが成功の鍵を握る根管治療では、歯科用CTは必要不可欠だと言っても過言ではありません。

レントゲンで撮影した場合
歯科用CTで撮影した場合

特徴3人体に害のある「シーラー」は使用しません

根管治療では、通常「ガッタパーチャポイント」と「シーラー」というものを使用します。
ガッタパーチャポイントとは、ゴム状の薬剤のようなものであり、シーラーとはガッタパーチャポイントを歯に接着するのりのことです。

しかし、このシーラーには「ユージノール」という成分が含まれており、人体への毒性があると報告されています。また、根管治療を成功させるためには歯の根の中に細菌が入り込まないよう密封することが不可欠ですが、シーラーを併用すると隙間ができて緊密にすることができません。
歯を健康にするための根管治療であるにも関わらず、シーラーを使用することで健康を害することになっては元も子もありません。
そのため、当院では基本的にシーラーを使用しておりません。ただし、シーラーの中には安全性の高いものも存在するため、必要に応じて使用する場合は、生体為害性のないものを使用しています。

特徴4根管内を衛生水により綺麗にする超音波洗浄

根管治療の成功率を高めるためには、歯の根の中(根管内)を綺麗にすることが求められます。
根管内を洗浄する方法はいくつかあり、多くの歯科医院で行われている手段は「混合洗浄」と呼ばれるものです。専門的な話なので詳細は割愛させて頂きますが、簡単にいうと薬剤による洗浄です。これだと身体に悪い物質が発生するため健康を害する恐れがあるのです。 これを避けるためにも、当院では除菌効果のある衛生水で根管内を超音波洗浄しております。当院で根管治療を行った患者様の治療結果が良いのも、洗浄方法にもこだわっていることが背景としてあります。

以上、根管治療における当院のこだわりをご紹介させて頂きました。
前述しましたが、根管治療は非常に難しい分野であり、歯科医院によって成功率が異なります。歯を残したい方は、慎重に歯科医院選びをなさってください。

虫歯治療後の
詰め物・被せ物の種類

詰め物・被せ物には様々な種類があります。
良く知られているのは、「銀歯」と呼ばれているものですね。 これは保険適用の素材であることにメリットがあるのですが、 「見た目」「金属アレルギー」「腐食」「精度」などにおいてデメリットがあります。
かわって保険適用外(自費治療)の素材は、保険適用の素材と比べ「審美性」「体への優しさ」「機能性」「耐久性」「精度」などにおいて様々なメリットがあります。
保険適用外の素材に関してもっと詳しく知りたい方は審美セラミック歯科または料金表をご覧ください。
素材別の特徴を詳細に説明しています。

虫歯Q&A

痛くないのに虫歯の治療をするの?

痛みの感じ方には個人差がありますが、虫歯の場合は、C1の段階ではあまり痛みを感じず、C2からC3の状態にならないと痛みを感じません。しかし、C1で痛みを感じなくても虫歯は日々進行していきます。 虫歯による痛みなどの症状が出始める前に、歯科医院での受診をお勧めします。

歯ブラシをした時痛むのは虫歯なの?

様々な可能性が考えられますが、虫歯や知覚過敏歯、歯が削れたり欠けている場合もあります。あるいは歯茎が傷ついたり、歯周病になっているのかもしれません。 痛みが続く場合は、歯科医院で一度検査をしてみてください。

神経をとった歯なのに痛みがあるけど大丈夫?

神経をとった歯でも、歯の根の治療である「根管治療」が緻密に行われていない場合、痛みや腫れを引き起こすことがあります。根管治療は非常に難しい分野であるため、日本歯内療法学会の会員である歯科医院で診てもらうべきだと言えます。
当院には専門医が在籍しておりますので、どうぞお気軽にご相談ください。

銀歯が取れてしまったのだが、取れた銀歯は持っていった方がいいの?

取れてしまった原因はいくつかあると思われますが、銀歯の下にある歯の状態によってはそのまま使える場合もありますので、念のために取っておき受診時に持って行かれた方が良いと思われます。