当院で矯正治療を担当する
鹿瀬先生のインタビューを
ご紹介します。

Q: 鹿瀬先生が行う治療スタイルは?

矯正治療における私のこだわりは、「可能な限り歯を抜かない」ということです。
多くの歯科医院が行う矯正治療には抜歯が伴うので、この治療スタイルは珍しいかもしれません。抜歯が伴う背景には、抜歯をしないことでかえって歯並びが悪くなるという考えに起因します。 少し分かりづらいと思いますので、例え話でご説明したいと思います。

そもそも歯並びが悪い状態とは、3人掛けのベンチに4人が座ろうとして綺麗に座れていない状態です。
本来ならば、4人が座れるベンチに作り替えれば良いのですが、顎の成長が止まっている大人の場合には残念ながらそれが難しいのです。
そのため、歯並びを綺麗にするためには、 ベンチに座れず邪魔になっている歯を抜なければなりません。 これが、多くの歯科医院が抜歯をする理由です。

一方、私が行う矯正治療の方法であれば、多くの場合4人が座れるスペースを作り出すことが可能であるため、抜歯をしないという選択肢も存在するのです。具体的には、ワイヤーを歯に装着した矯正治療を行う前に、前述したベンチである顎の拡大から始めることで、3人掛けのベンチに座れていない歯でも抜歯せずに綺麗に座らせることが可能です。

ただ、すべての患者様が非抜歯で矯正治療ができる訳ではありません。
顎の成長期にあるお子様であればほぼ100%の方が非抜歯で済みますが、大人の場合は70~80%の方は歯を抜かずに矯正治療ができます。

抜歯の有無は、検査して見ない限り分かりません。
現在、矯正治療に関する相談料は無料ですので、お気軽にご相談ください。

Q: 矯正装置が目立ちにくくなる工夫はありますか?

矯正治療というと、歯にくっついている銀色の装置をイメージされるかと思います。
これは「ブラケット」という装置なのですが、金属色をしていて目立ちますので、これが嫌で矯正治療に踏み切れない方もいるのではないでしょうか。

そこで見た目の美しさを追求される方には、「裏側矯正(舌側矯正)」という治療法があります。
従来の矯正治療では、歯の正面に装置をつけるため笑った時に銀色の装置が見えてしまいますが、裏側矯正ではそのような心配がありません。なぜなら、歯の裏側に装置を装着しているからです。
裏側矯正は「目立ちにくい矯正治療」として女性中心に人気です。

目立ちにくい矯正治療「裏側矯正(舌側矯正)」

これ以外にも、歯の色になじむ透明のブラケットをご用意しております。

Q: 最後に患者様へのメッセージをお願いします

成人の方で矯正治療を考えている方と、お子様をお持ちの親御さんへ少しお話したいと思います。

成人で矯正を考えられている方へ

矯正治療は日進月歩の分野ですので、患者様の様々なニーズにお応えすることができます。 例えば、「矯正治療でつける装置が目立って嫌だ」という方には矯正装置が見えない裏側矯正という選択肢があります。抜歯することに抵抗感を持たれている方には、非抜歯で済む方法もあります。

まずは、矯正治療をする上であなたが重視している点をじっくりお聞かせ頂き、それに合わせた矯正治療の方法をご提案いたします。
皆様とお会いできることを楽しみにしております。

お子様をお持ちの親御さんへ

最近では、お子様の歯並びを気にされる親御さんが多く来院されるようになりましたが、なかには、お子様が治療を嫌がっているにも関わらず「子供のことは気にせず、治療をお願いします」と懇願される方がいらっしゃいます。

しかし、お子様が嫌がっている場合は親御さんにどう言われようと治療は行いません。
なぜなら、小児矯正ではお子様の協力が不可欠であり、本人が矯正治療に意欲的でなければ装着する必要のある矯正装置を付けてもらえない場合があるためです。

まずは、焦らずにじっくりとお子様と話し合った上でご来院頂ければと思います。

そもそも矯正治療が
必要な歯並びとは?

さて、矯正治療が必要と言われる歯並びはどのようなものがあるのでしょうか?
代表的な歯並びを当院で治療した症例をお見せしながらご説明します。

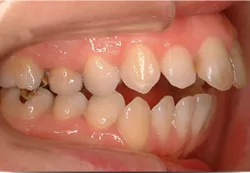
出っ歯

皆様が良く知っている歯並びですね。上顎の前歯が下顎の歯よりも大きく前に出ている歯並びです。

開咬

奥歯が噛んでいるのにもかかわらず、前歯が噛んでいない歯並びです。

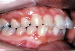
受け口

奥歯が噛んでいるのにもかかわらず、前歯が噛んでいない歯並びです。

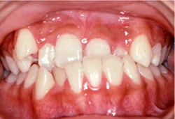
叢生(乱ぐい歯)

歯が様々な角度で生えてデコボコになってしまっている歯並びです。

いかがでしたでしょうか?
上記に該当する場合は、一度歯科医院で診てもらうことをお勧めします。

目立ちにくい
矯正装置のご紹介

金属の装置に抵抗があり、今まで矯正治療に踏み切れなかった方にお勧めの装置が当院にはあります。
これについてご紹介しましょう。

グラスファイバーを用いた透明なブラケット

通常は金属製の矯正装置(ブラケット)を使用しますが、見た目が気になるという方も多くいらっしゃいます。
当院では、目立ちにくく自然な見た目を重視したい方のために、「グラスファイバー」を素材とした透明なブラケットを採用しています。歯の色になじみやすく、装着していても目立ちにくいのが特長です。
さらに、金属アレルギーの心配が少なく、歯や歯ぐきにもやさしい素材です。見た目にも配慮した快適な矯正治療をご希望の方におすすめです。

裏側矯正(舌側矯正)

読んで字のごとく、歯の裏側に矯正装置を付ける治療法です。
普段の生活で矯正治療を行っていることに気づかれにくくなります。

歯列矯正中だということに気づかれにくくなるというメリットがありますが、慣れるまではしゃべりにくいというデメリットがこの装置にはあります。
しかし、発音の仕方に慣れてくれば通常通りお話ができるようになります。

当院では、
筋機能矯正治療システム
「Myobrace®(マイオブレース)」を導入しています

「Myobrace®(マイオブレース)」は、歯並びや噛み合わせの乱れを引き起こす原因――舌の位置、口呼吸、姿勢、飲み込み方などの筋機能のクセにアプローチする、新しい矯正治療システムです。
子供から大人まで、それぞれの年齢やライフスタイルに合わせた装置が用意されており、従来のようにワイヤーで歯を動かすのではなく、筋機能のバランスを整えることで、自然なかたちで歯並びを改善していきます。
歯並びの改善だけでなく、呼吸や姿勢、全身の健康にもつながる治療として注目されています。
ご興味のある方は、お気軽にご相談ください。

詳しくは公式HPへ

矯正治療の流れ

1

相談

お悩みやご希望をお聞きします。 相談は「無料」です。

2

精密検査~カウンセリング

精密検査の結果をもとに、矯正治療全般に関して詳しくご説明をいたします。
少しでも疑問点がございましたら、再度ご説明し納得頂いた上で、治療を開始するかどうかのお返事を頂きます。

3

治療開始

歯に装置をつけ、歯に力を加え始めます。装置を付けている期間は約1~3年程度です。

4

通院

歯を動かす期間は原則毎月1回通院して頂きます。

5

治療終了~保定期間

矯正装置を外します。ただし、装置を外した状態のままですと「後戻り」という現象を起こすため、改善された歯並びを維持する保定装置(取り外し可能な装置)を装着して頂きます。
※保定装置は症例にもよりますが、1~3年間程度(通院間隔は、2ヶ月、3ヶ月、6ヶ月に1回と段階的に長くなります。)主治医の指示に従って使用して頂きます。保定装置を使用しないと後戻り(歯並びが悪い状態に戻ること)を起こし、再度矯正をする必要が出てきます。

6

定期メンテナンス

保定装置の使用を確認後、当院のメンテナンスを定期的に受診して頂き、保定装置を終了する時期まで、経過を観察していきます。

矯正歯科Q&A

矯正治療の相談をしたいのですが、どうすればいいですか?

当院に電話でご連絡頂き、相談の予約が取りたいという旨を伝えてください。相談は無料となっています。

矯正治療の装置をつけている期間を教えてください

矯正治療の期間は、約1~3年程度ですが、開始年齢や歯並びの状態で大きく異なります。矯正相談で、大まかな治療期間についてお伝えいたしますが、実際には検査をして治療計画を決定しないと、詳しくはお答えできない場合が多いです。個々のケースで異なりますので、相談の上、確認を御願いいたします。

通院の頻度はどれぐらいですか?

一般的に固定式矯正装置を付けている時は、月に1回の間隔が多いです。矯正治療が終わり、保定装置を使用する保定期間では、2ヶ月~6ヶ月の間隔です。

虫歯や歯周病が発見された場合でも、矯正できますか?

矯正の前に歯の検査をします。そこで虫歯や歯周病が発見された場合は、先に必要な治療をすませてから矯正治療を行います。

矯正は痛みがありますか?

矯正治療は、痛みを伴うことが通常です。痛みには、2種類あります。1つ目は、歯が移動する際に炎症反応が起こり、歯が痛くなると考えられています。具体的には、上下の歯を当てると痛い、強く噛むと痛い、食いしばると痛いという感じが2日~10日間程度続きますが、通常は3日ぐらいで痛みが消失します。 また、ワイヤーを交換し、歯を動かす力が強くなると再び痛みを感じることもあります。しかし中には痛みを感じにくい人もいます。個人差が大きいので、痛みの期間は3日~10日間程度とご理解ください。
2つ目は、装置が唇や頬の内側の粘膜に当たり痛みを感じる場合です。 この場合は口内炎ができたり、粘膜に傷が付き出血したりすることもあります。
応急処置として、装置が当たる部分にワックスという粘土のようなもので、装置を覆い、装置が粘膜に当たるのを防ぐ方法があります。また、装置を削ったり、ワイヤーにカバーをしたりすることで対応していきます。

いずれにしましても、この痛みは小さなお子様でも我慢できる程度ものですので、それほど心配される必要はございません。