当院ではしっかりした
歯周病治療を行っています!
金安歯科医院の
歯周病改善システム
システム1身体への優しさを考慮し、歯周病菌の除菌を目指す!
歯周病を引き起こす細菌の温床となっている歯石やバイオフィルムの除去、ご自宅でのお口のケアなくして歯周病治療を成功させることはできません。今後、さらなる効果的な治療を行っていくために「位相差顕微鏡」という、お口の中に存在する細菌の数や種類を特定可能な機材を導入し、患者様に合ったオリジナルの治療を提供できるように院内の体制を整えてまいります。

システム2歯科医師と歯科衛生士が密接に連携した歯周病治療
歯周病治療は、予防メンテナンスのプロフェッショナルである歯科衛生士が歯科医師と密接に連携して治療を行っております。
歯科衛生士とは、単なる歯科医師のアシスタントではなく、文部科学省や厚生労働省から指定された専門学校を卒業し、国家資格を持つ専門職です。つまり、歯周病や虫歯から歯を守るための治療を行うことができるスペシャリストなのです。
当院では幅広い知識と経験を持った歯科医師と歯科衛生士が密接に連携することで、さらなる治療効果を実現しています。

システム3「噛み合わせ」のコントロール
噛み合わせが悪いことが原因で、特定の歯に過度の力が加わってしまうことがあります。
そうなると次第に歯が「グラグラ」と動揺し始め、それによって生じた歯と歯茎の隙間から歯周病菌が侵入することで、急激に歯周病が進行してしまいます。
そうならないために、すべての歯で力を均等に分散できるよう噛み合わせを調整することを当院では行っております。

システム4さらなる治療効果が期待できる「歯周外科手術」
歯周病を改善するためには歯石の除去などを行わなければならないとお伝えしましたが、この歯石は目に見える場所にあるだけでなく、歯茎の中という見えない所にも存在します。
歯周病治療では歯茎の中に隠れている歯石も除去するのですが、当然目で見ることができないため、手探りでの治療になってしまい、すべての歯石を取り除くことができないのが実情です。
当院では、歯茎の中に取り残された歯石を除去するために行っているのが、「歯周外科手術(フラップオペ)」です。この手術では、歯茎を切開することにより、切開する前までは肉眼で見ることのできなかった歯石を確認することができ、しっかり除去することが可能になります。
患者様によっては治療後に腫れる可能性がありますが、治療自体には麻酔を行うため痛みは抑えられますのでご安心ください。

システム5歯周病によって失われた骨を取り戻す骨再生治療「GBR法」
歯周病の悪化に伴い、歯を支える骨は歯周病が出す酸によって溶かされていきます。これは見逃すことのできない問題です。なぜなら、歯を支える土台が少なくなれば歯がグラグラし始め、最終的には歯が抜けてしまうためです。そうならないためにも、早期に治療を受けることで進行を止めることはできますが、失ってしまった骨が自然と元のように再生されることはありません。
ところが、当院が行う骨再生治療である「GBR法」を受けることで骨が再生される可能性はあるのです。まだまだこの治療法の認知度は低いので、下記で詳しくご紹介していきますね。
このGBR法とは、骨を回復したい場所を特殊な膜で覆い、これによって確保されたスペースに粉砕した自家骨や人工骨を盛ることで、骨を再生させていく治療法です。
これにより、約半年後には細かく砕いた骨が自分の骨に置き換わります。
GBR法の施術手順は以下の通りです。

また、全身疾患が原因で外科ができないときもあります。その際は、侵襲が少なく全身疾患のある方にも対応できるレーザー治療を行います。レーザー処置では、膿を出したり、歯周ポケットの殺菌や、歯周ポケットの除去・改善をしていきます。
システム6歯周病治療に必要不可欠な「定期メンテナンス」
多くの患者様が誤解されているようですが、1回治療したからと言ってそれで歯周病が完治し二度と再発しないということはありません。どのような方でも、常に歯周病が再発するリスクに付きまとわれています。
それでは、どのようにすれば歯周病が再発しなくなるのか?
医療に「絶対」はありませんが、やはり歯科医院での「定期メンテナンス」を継続的に受けることが近道だと言えます。歯周病の進行を抑えたい方は、歯周病治療が確立している当院の定期メンテナンスをぜひ受診してください。

また当院のメンテナンスの特長として「エアーフロー」を利用したクリーニングがあります(自費診療)。「スイスEMS社のエアーフロー」を導入しています。これまでもエアーフローの機器は存在していましたが、虫歯や歯周病の原因となる「バイオフィルム」の除去ができませんでした。しかし、このエアーフローは、バイオフィルムを短時間でしっかりと除去できます。それ以外にも歯と歯茎を傷つけず施術できることも特徴です。超音波スケーラーなどでは届きにくい部位の歯周ポケットのケア、そしてインプラントのメンテナンスにも今後積極的に使用していきます。ちなみに、世界の予防最進国であるスウェーデンのイエテボリ大学では、この機器の有効性を認め、すべてこのEMS社のものに買い換えています。院長を含め、当院スタッフもこの機器を利用して毎回メンテナンスを行っています。
歯が失われる原因、
ナンバー1を
ご存知ですか?
歯が失われる原因ナンバー1を「虫歯」だと思われている方が多いようですが、虫歯ではありません。
ナンバー1は、実は「歯周病」です。 事実、30代以上の約8割以上が歯周病にかかっており、 日本人が歯を失う原因としては、 虫歯よりも歯周病の方が多いのです。
虫歯と異なり歯周病には痛みがないため、気がついた時には手遅れとなっているケースが多々あります。さらに、歯周病が進行することで、自分では気づかないうちに強烈な口臭を周囲にまき散らしています。
また、歯周病は全身の様々な病気との関連性が多く報告されており、歯周病によって失うのは歯だけではなく、最悪の場合、命を落としかねない非常に恐ろしい病気です。
このことについては次節でご紹介します。

歯周病と全身疾患の関連性
ご存知ない方も多いと思いますが、歯周病はお口の中だけではなく、全身疾患との関連性も指摘されています。
関連性が報告されているものとして次のものがあります。

歯周病との関連でよく言われるのが、「糖尿病」「心臓病」「早産」です。
糖尿病との関連
重度の歯周病の場合、軽度の人に比べ2年後に糖尿病が悪化している率が5倍高くなります。
心臓病との関連
歯周病菌の作りだす物質が血液中に流れ動脈硬化を起こすのではないかと考えられており、 心筋梗塞や狭心症を引き起こす原因となります。健康な人に比べ心臓病発症の危険率が2.8倍といわれています。
早産との関連
低体重児を出産した母親の方が歯周病が進行していたという報告があります。 また、妊娠中の歯周病をそのままにしておくと早産の確率が高まります。
あなたの歯周病は
どこまで進行してますか?
歯周病は自覚症状が伴わないため、知らず知らずのうちに症状が悪化していきます。 どこまで歯周病が進行しているかを事前に把握することで、最悪の事態を避けることができます。
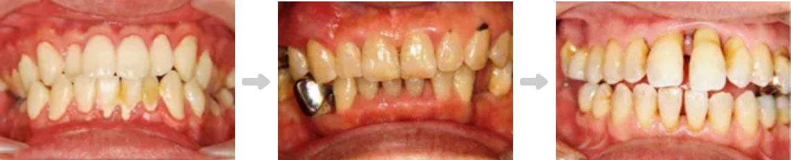
下記の写真は、歯周病の進行過程を表したものです。あなたのお口は、どれに当てはまりますでしょうか?

いかがでしょうか?左の状態だからといって決して安心はできません。
いくら丁寧に毎日歯磨きをしていても歯科医院へ定期的に通っていなければ、右の状態まで歯周病が進行してしまいます。そうならないためにも、早期治療は欠かせません。
発見が遅れれば
大変なことに
なってしまいます
歯周病は、なによりも早期発見が大切です。 発見が遅れてしまえば、「抜歯」なんて事態にもなりかねません。
「最近めっきり歯科医院に行かなくなったなぁ…」という方は下記の表をご覧になり、当てはまる項目がひとつでもありましたら、すぐにお近くの歯科医院で受診してください。
- 歯磨きすると歯茎から出血する。
- 歯肉が赤く腫れている。
- 歯茎から膿が出る。
- 歯がグラグラする。
- 食べ物が歯の間にはさまりやすくなった。
- 昔より歯が長くなったように見える。
- 歯が浮いたような感じになる。
- 朝起きた時、口の中がネバネバする。
- 口臭があるとよく言われる。
歯周病Q&A
- 歯ブラシのときに出血したり、しなかったりするのですが、どうしてですか?
- 歯茎の検査をする時や歯石を取る時にチクチクと痛いのですが、どうしてでしょうか?
- 歯周病は何歳くらいから気をつければよいのでしょうか?
- 予防のために歯科医院に通うメリットはどんなものがありますか?