当院のホワイトニングが
選ばれる5つの理由

歯を削らずに白くするホワイトニングは私達の身近な存在となり、どこの歯科医院でも施術を受けることができますが、その中でも数多くの患者様に当院が選ばれております。
その理由は、「患者様の様々なニーズに応えているから」というシンプルなものだと考えています。より歯を白くすることはもちろんのこと、歯だけでなく歯茎を健康的なピンク色にする施術を取り入れることで様々な患者様の期待に応えています。
本節では、患者様が当院でホワイトニングを行う理由を具体的にご紹介していきたいと思います。

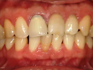
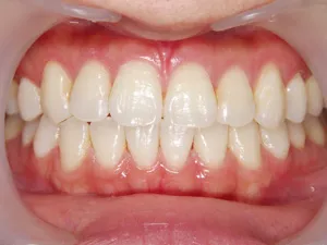
理由1痛まない、しみにくいホワイトニング用薬剤を導入

ご存知の方は少ないと思いますが、どの医院でも同じホワイトニング用薬剤を利用している訳ではありません。歯の白くなる度合い、原価、使いやすさなどを考慮した上で、医院に合ったホワイトニング用薬剤を導入しています。
種類によっては、「安かろう悪かろう」というものも存在しますので、どのホワイトニング用薬剤を導入しているのかを事前に確認することをお勧めします。
当院では、歯を白くするホワイトニング効果が高いことはもちろん、痛みが抑えられ歯に優しいホワイトニング用薬剤を導入しております。

Before

After

価格は約2万2千円。リスクとして、治療中に痛みが生じることがあります。

理由2気軽にホワイトニングが受けられる!

高額な治療費が妨げとなって、ホワイトニングをしたくても中々踏み出すことができなかった方が多いのではないでしょうか。

当院では、「もっと多くの方にホワイトニングを体験してもらいたい!」という想いから、 ホワイトニングを手の届きやすい価格で提供しております。
高額で行っている歯科医院が多い施術ですので、この機会に体験されてはいかがでしょうか。

料金はこちら

理由3ホワイトニングで得た白さを維持するアフターフォロー

ホワイトニングは、審美セラミック歯科と異なり歯の白さは次第に失われていき、そのまま何もせず放っておいてしまうと施術前の歯の色に戻ってしまいます。
当院では、ホワイトニングで得た歯の白さを維持し続けるために、再度のホワイトニングを提案したり、歯のクリーニングをするなど手厚いアフターフォローを行っています。
また、患者様の「より歯を綺麗にしたい」という想いを形にするために、歯並びを改善する矯正歯科や、歯茎をピンク色にする施術、永遠の歯の白さを実現できる審美セラミック治療などをご提案させて頂いております。

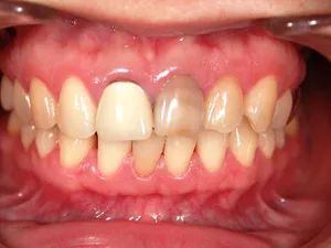
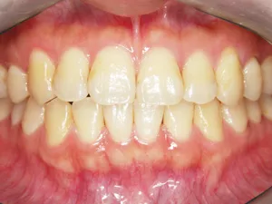
理由4神経が死んで黒ずんだ歯も白くする「ウォーキングブリーチ」

「ウォーキングブリーチ」という言葉はご存知でしょうか。ほとんどの方が聞き慣れない言葉だと思います。
虫歯や外傷などにより歯の神経が死んでしまうと、歯が黒ずんでしまいます。この状態で一般的なホワイトニングを行ったとしてもほとんど効果がありません。
神経が死んでしまった歯を白くする際に効果的なのが、ウォーキングブリーチです。

Before

After

価格は約8800円/1回。リスクとしては、稀に治療中にしみることがあります。

歯の神経を取った後、歯の中に歯を白くする薬剤を入れ、変色した歯を内側から白くさせる方法です。これにより白い歯に近づけることが可能となります。 しかし、複数回この治療を行うことで歯質が弱くなるというデメリットがありますので、担当医とよく相談されることをお勧めします。

理由5喫煙等によって黒ずんだ歯茎を健康なピンク色に戻す「ガムピーリング」

喫煙される方の多くは歯茎が黒ずんでいますが、これはメラニンによるものです。メラニンは刺激から身体を守ってくれる色素であり、喫煙者の歯茎が黒いのは、タバコの煙に含まれる刺激から守るためにメラニンがたくさん生産され、それによって歯茎が黒く見えてしまうことに起因します。また、歯茎が黒ずむ原因は喫煙だけではなく、被せ物に使用される金属が溶け出すことなどによっても歯茎の黒ずみに繋がります。
上記のようなことが原因で黒ずんでしまった歯茎の色は元の色に戻らないと諦めている方が多いですが、当院が行っている「ガムピーリング」によって健康的なピンク色をした歯茎に近づけることができます。

レーザーを黒ずんだ歯茎に照射することで、黒ずみの原因であるメラニンを除去することが可能となるため、健康的なピンク色の歯茎に改善されます。
レーザーの痛みや安全性について心配される方も多くいらっしゃると思いますが、痛みは抑えられ、人体への悪影響はありませんのでご安心ください。
レーザー治療以外にも、フェノールという薬品とアルコールを用いて歯茎を健康的なピンク色にする治療法があり、漂白効果が高く手軽に行えるため多くの患者様が体験されています。

「ホワイトニング」と
「審美セラミック歯科」の
違いとは?

「ホワイトニング」とは、専用の薬剤を用いることで歯を白くします。
「審美セラミック歯科」では歯を削り、その歯の上に白い詰め物・被せ物を用いることで、歯の「色」だけでなく「歯の形や歯並び」まで変えることができる治療です。
大きくこの2つを分けると、「歯を削るかどうか」「白さを維持できるかどうか」の2点で違いがあります。

違い1歯を削るかどうか

審美セラミック治療

歯を削る必要があります。

各種ホワイトニング

薬剤を用いて歯に化学変化を起こし白くしますので、歯を削る必要はありません。ただし、天然の歯のみに適用されます。

違い2歯の白さを維持できるかどうか

審美セラミック治療

お好みの色を再現することができ、時間が経過しても治療時の色を保ち続けることができます。

各種ホワイトニング

歯の質や治療回数などにより白さの度合いは個人個人異なってきます。また時間の経過とともに白さが失われていきます。

このようにそれぞれの治療法で一長一短がありますので、あなたにとって一番良い方法は「これです」とは一概には言えません。担当医と相談してからの選択をお勧めいたします。
審美セラミック治療に関しましては別ページでご紹介しておりますので、詳しくは審美セラミック治療をご参照ください。

ホワイトニングによる
「歯の白さ」の
持続期間は?

残念ながら、ホワイトニングでは歯の白さが永遠に持続されることはありません。
しかし、着色しやすい食べ物をとらないことや、ホワイトニング用の歯磨き粉を使用することで歯の白さを維持する期間を長くすることはできます。
また、オフィスホワイトニングは、ホームホワイトニングよりも歯の色が戻りやすい(後戻り)傾向がありますので、オフィスホワイトニングの場合は6ヶ月後に追加のホワイトニングを繰り返すことで、後戻りを防止することが可能になります。
ホームホワイトニングに関しても、2~3年に一度の追加ホワイトニングを定期的に行うことで、変色しにくい歯になっていくという研究報告があります。
白さを永続的に維持させたい場合や、すでに人工の歯が多い方は、審美セラミック治療の方が適していますので、審美セラミック治療をご参照ください。

やさしく着色汚れを落とす
最新クリーニング
『EMSエアフロー』の
ご紹介

エアフローは世界有数の歯科専門家とのコラボレーション、100,000時間以上の技術テスト、臨床テストを経て、EMS社の研究開発センターで開発された最新の製品です。
微粒子パウダーを歯面や器具の届かない隙間にジェット水流で吹き付けることで、歯ブラシでは落とせないタバコのヤニなどの着色や、虫歯や歯周病の原因となるプラークなどのバイオフィルムを隅々まできれいに除去することができる器具です。
従来の機器は歯面に直接器具を当てますが、エアフローは歯面に触れないため歯などを傷つける心配もありません。

こんな方におすすめです!
  • 最新技術のクリーニングを体験してみたい
  • 短時間で快適にクリーニングを受けたい
  • 歯を白くしたい
  • コーヒー、タバコなど着色が気になる
  • 歯質を強化してむし歯予防をしたい
  • できるだけ歯を傷つけたくない
  • 知覚過敏で歯が染みるのが辛い方(温水が使えます)
  • 歯肉炎、歯周炎の予防処置をしたい
EMSエアフローのメリット・デメリット
メリット
  • 高い清掃効果が期待できる
  • 被せ物の周りや歯と歯の間の部位に、歯ぶらしでは届きにくい、磨きにくい部分の汚れもしっかり落としてくれます。

  • 短時間で汚れを取り除ける
  • 非常に細かな粒子が広範囲にジェット噴射されるので、短時間で汚れを落とすことが可能です。

  • お口の中を傷つけにくい
  • 歯科クリーニングでは「超音波スケーラー」という器具が用いられていますが歯の表面のエナメル質に負担をかけてしまうのではと昨今、懸念されております。その点エアフローであれば歯やまたは詰め物の周りなども傷付けることなく清掃できます。

  • 歯の色=着色汚れに高い効果を発揮する
  • コーヒー、紅茶で色が付いてしまった着色汚れ、タバコのヤニなどの色汚れにも高い清掃効果を発揮します。歯磨きだけでは落とせない汚れもあっという間にキレイにピカピカなります。

デメリット
  • 保険適応外(自由診療)です。
  • 保険適応の歯のお掃除では歯周病の治療に値するものとなりますので必要以上に歯の着色の汚れ等の審美目的のおそうじについては保険外治療となります。

  • エアフローには病気に対する使用制限があります。
  • 呼吸器疾患のある方(喘息など)、高圧洗浄の様に勢いが強いので風邪を引いている患者様にも注意が必要です。

  • 多少の違和感があります。
  • 施術を受ける際、舌や歯肉や粘膜に当たった粒子でチクチクとした違和感を感じることがあります。また、水分と一緒にパウダーが噴射されますので水分がお顔にかかることもあります(気を付けてお顔にはタオルや紙のフェイスエプロンもかけさせていただいております。